口腔外科 Oral Surgery
最先端の設備と高い治療技術による安心の口腔外科治療
親知らずの診断、抜歯
なるべく腫れない、痛くない親知らずの抜歯
↓のように横向きに生えていると、7番目の歯と親知らずの隙間に細菌が溜まり、虫歯になったり、周囲の歯肉が腫れたりする原因となります。
親知らずで悩みを抱えている方へ
下記のような場合には、抜歯をすることをお勧めしています。
- 虫歯が神経まで到達している場合
- 何度も腫れや痛みを繰り返して、その間隔が短くなってきている場合
- 親知らずが原因で歯並びが乱れている場合で、歯並びの保全を優先したい場合
当クリニックでは、通常、大学病院へ紹介されるような難しい抜歯も可能です。また、安全のため必要に応じてCT撮影を行っております。痛みが怖い方には、静脈内鎮静などの麻酔にも対応しています。お気軽にご相談下さい。
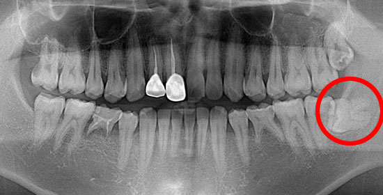
親知らずの症例
術 前 | 術 前 C T | 術 後 |
---|---|---|
![]() |
![]() |
![]() |
術前
上下左右4本の親知らずがそれぞれ生えていますが、下の親知らずの抜歯は特に注意が必要です。この様に横に生えている親知らずと下顎管が近接している場合、下顎管にダメージを与えると、下唇や顎付近に知覚異常・鈍麻が起こる場合があります。また、抜歯の際、舌神経を傷つけると舌の痺れ等が起こる場合がありますので、抜歯の際は細心の注意が必要です。
術前CT
二次元的なレントゲン画像では歯と下顎管の正確な位置をつかめない場合があります。CTを分析することにより、歯と下顎管の位置関係を正確に把握し、より安全に抜歯をすることが出来ます。
術後
安全に抜歯をすることが出来ました。当クリニックではなるべく腫れない切開法を行い、骨削除を最小限にすることで、術後の腫れや痛みを抑えた抜歯を行っております。
顎関節症
顎関節症の原因
顎関節症は様々な要因が重なって起こります。
かみ合わせの問題、歯ぎしり、悪習癖(かみ癖や食いしばり)、ストレスなどによって過度な負担があごにかかると、それらが重なり合って発症すると考えられています。
症状の分類
顎関節症は様々な要因が重なって起こります。
かみ合わせの問題、歯ぎしり、悪習癖(かみ癖や食いしばり)、ストレスなどによって過度な負担があごにかかると、それらが重なり合って発症すると考えられています。
顎関節症は、その症状によっていくつかに分類され、それぞれ治療法が異なります。
Ⅰ 型
主に咀嚼筋(かむときに使う筋肉)に痛みが生じます。また、口をあける筋肉の、あごの後ろにある「顎二腹筋」や、首のまわりの筋肉が痛むこともあります。
Ⅱ 型
顎関節周辺に大きな負荷がかかって、炎症が生じ、痛みが出てきた状態です。
Ⅲ 型
口を開閉すると「コキコキ」と音がしたり、口を開けにくくなったりします。
ⅢC -型 |
咬頭嵌合位で関節円板前方転移なし |
---|---|
ⅢC +型 |
咬頭嵌合位で関節炎板前方転移あり+雑音症状 |
ⅢL型 | 咬頭嵌合位で関節炎板前方転移あり+クローズド・ロック |
Ⅳ 型
下顎の骨の上部が削り取られたり、出っ張ったりし(下顎頭の変形)、口を開閉すると 「ギリギリ」と音 がしたり、 炎症による痛み が生じたりします。
顎関節症の治療
Ⅰ 型・Ⅱ 型
薬物療法やレーザーを利用して痛みを抑える事が可能です。スプリントによる治療
Ⅲ 型
スプリント治療を行います。
ⅢC-型・ⅢC+型
薬物療法やレーザーを利用して痛みを抑える事が可能です。スプリントによる治療、円板整位運動療法、悪癖除去
Ⅳ 型
当院では、顎の関節を撮影できるレントゲンがございます。このレントゲンにより画像診断を行って、重度の外科処置が必要な場合には、大学病院へ紹介することができます。
レーザーを使用した外科手術
小帯切除口腔前庭拡張治療例
レーザーを使用して、小帯と呼ばれるすじを切って、歯茎の部分を広げる治療です。
BEFORE
AFTER
Ⅰ 型・Ⅱ 型
薬物療法やレーザーを利用して痛みを抑える事が可能です。スプリントによる治療
Ⅲ 型
スプリント治療を行います。
ⅢC-型・ⅢC+型
薬物療法やレーザーを利用して痛みを抑える事が可能です。スプリントによる治療、円板整位運動療法、悪癖除去
当院では、顎の関節を撮影できるレントゲンがございます。このレントゲンにより画像診断を行って、重度の外科処置が必要な場合には、大学病院へ紹介することができます。

レーザーを使用して、小帯と呼ばれるすじを切って、歯茎の部分を広げる治療です。
BEFORE | AFTER |
---|---|
![]() ![]() |
![]() ![]() |