綱島インプラントセンター併設オーキッド歯科クリニック

WEB予約

虫歯治療 Decayed

上部キャッチコピーまたは文章上部キャッチコピーまたは文章上部キャッチコピーまたは文章上部キャッチコピーまたは文章

出来るだけ削らない、歯にやさしい治療

当院のMI(ミニマル・インターベーション)

2000年に初めてFDI(国際歯科連盟)が提唱したMinimal Intervention(最小の侵襲)の概念は、現在、日本の歯科治療においても定着しつつあります。当クリニックでは、なるべく削らない・なるべく神経を取らない治療を心がけております。虫歯を大きく削って、大きな銀歯を被せる治療から、虫歯だけを削ってコンポジットレジン(白い充填物)を詰める治療にシフトしております。

プロルートMTA

プロルートMTA

諸外国では1998年以降様々な臨床応用が認められていますが、日本では2007年4月に覆髄材として販売をしました。 水酸化カルシウムに代わる直接覆髄に適したユニークなセメントです。 封鎖性が優れており、漏洩による炎症を引き起こすことなく外来刺激を遮断します。 これにより、従来の治療では歯の神経を取っていたケースも、高い確率で歯の神経を残す事が可能です。この治療法は保険外治療となります。 詳しくはクリニックにお問い合わせ下さい

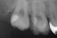
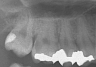
症例紹介

術 前 術 中 術 後
オーキッド|虫歯治療② オーキッド|虫歯治療⑤ オーキッド|虫歯治療③ オーキッド|虫歯治療④ オーキッド|虫歯治療⑥

痛くない怖くない無痛麻酔

「全く痛みを感じなかった」を目指して

当クリニックでは患者様に「痛みを感じなかった」と思ってもらえる治療を目指しています。
完全に無痛というのは難しいですが、自動麻酔注射を用いてゆっくりと一定の速度で麻酔を入れていくことで痛みをかなり軽減し、注射針の痛みを感じないように表面麻酔を行うといった「痛み」に対して徹底的にこだわって治療を行っています。
小さなお子様も安心して治療にお越しください。

自動麻酔装置

自動制御により麻酔液注入速度をコントロールします。麻酔の痛みの原因のひとつは、この注入速度です。ゆっくりと注入できるため、痛みを和らげることができます。

自動麻酔装置

細い麻酔針(33ゲージ針)

麻酔に使用する針は、細ければ細いほど痛みが少なくなります。

表面麻酔

麻酔の針を刺す歯ぐきに、前もって貼ったり塗ったりする麻酔です。5分後くらいに麻酔の針を刺しますが痛みを感じる方はほとんどいません。 いつ麻酔の針を刺したか分からない方がほとんどです。

電話 WEB予約