綱島インプラントセンター併設オーキッド歯科クリニック

WEB予約

オールオン4 All-on-4

上部キャッチコピーまたは文章上部キャッチコピーまたは文章上部キャッチコピーまたは文章上部キャッチコピーまたは文章

当院のオールオン4はここが違う!

オールオン4の症例の多さは、当クリニックのインプラント治療の特徴でもあります。「オールオン4」とは、歯が1本も残っていない(無歯顎)場合や、残っている歯が数本である場合に、片顎4本~6本のインプラントを埋入し全ての歯を支えるという術式です。これまでは、歯が1本も残っていない場合は総入れ歯か、数多くのインプラントを埋入するという治療法でした。総入れ歯を長期に渡り使用してきた方は骨も吸収し、インプラントをするには骨造成等の手術が必要になるケースも多くある為、従来の治療法は、患者様の経済的負担も大きく、治療期間も大変長いものでした。

「オールオン4」という治療法は、一般的に手術と同時に仮歯を装着する為、審美的な回復が即日可能であると共に、ほとんどのケースにおいて、骨造成等の必要がありません。オーキッド歯科クリニックの術式は上顎の場合、ほぼ100%フラップレス方式(歯茎を切開しない)を用いる為、術後の腫れや痛みも最低限に抑えることが可能です。また、治療期間もわずか一日で仮歯が入りますので、簡単なお食事から始める事が出来ます。オーキッド歯科クリニックのオールオン4は、多くの症例を積んできた過程の中で術式そのものをよりシンプルに改良してきた為、さらに手術時間の短縮が可能となり患者様の心身的負担も軽減することが出来ました。多くの患者様がこの「オールオン4」により笑顔を取り戻しています。

ODCのオールオン4

“その日のうちに噛める” 最新の1Dayインプラント

ODCのオールオン4

下顎は4本、上顎は4~6本のインプラントでフルブリッジを固定し、手術即日に噛む機能と審美性を回復するまったく新しいコンセプトの術式です。従来、歯を全て失ってしまった方のインプラント治療には、上下それぞれ8~10本のインプラントを必要としてきました。又、治療期間は非常に長く、治療費もとても高額でした。オールオン4なら治療コストを低減でき、治療期間も大幅に短縮する事が可能です。

従来インプラント オールオン4
治療期間※1 3~8ヶ月 1日※2
手術時間※3 1~2時間 1~2時間
治療費(片顎) 400~1,000万 250~400万
審美性・清掃性
骨造成の必要性 多くの場合必要あり 多くの場合必要なし

※1 固定式のブリッジで噛めるようになるまでの期間/※2 著しく骨質が悪い場合は即日に噛めない場合があります/※3 通常の手術で1~2時間程度、フルブリッジの調整および、インプラントへの固定・噛みあわせの調整に2~4時間かかります

① 徹底した術前診査と100%* の成功率

オールオン4を成功させる為の最も重要なステップです。歯を失ってしまった場合、多くのケースにおいて咬み合わせも破壊されてしまっています。全体的な咬み合わせを無視してインプラント治療を行っても、せっかく入れたインプラントはすぐダメになってしまいます。そのようなケースでは最終的な咬み合わせと歯並びを想定した「WAX UP」という手法が必要です。WAX UPとは歯科用ワックスで歯の模型を作製して最終的な歯並び・咬み合わせをシミュレーションする手法のこと。顎の関節の位置や咬みあわせた際の筋肉まで、しっかり考慮します。模型の作製後、残っている歯の咬み合わせも治療する必要があると診断された場合には、補綴治療(被せる治療)が必要となります。また、シミュレーションソフトにより最適なインプラントの埋入位置を決定します。インプラント治療の最大の目的は「しっかり咬めるようにすること」つまりインプラント治療は咬合治療の一つの選択肢なのです。

WAX UP
ノーベルガイド

ノーベルガイドで最適なインプラントの位置を決定する。

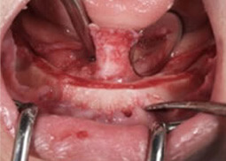
② 長期に渡る審美性と清掃性の実現

多くのケースにおいて、戦略的な顎骨のボーンリダクション(骨削除)が必要となります。計算されたボーンリダクションを行う事で、長期に渡る審美性と清掃性を得る事が可能となります。計算された顎骨のボーンリダクションを行うことで、顎骨を計算された形状に整形すると共に、歯肉の形態を理想的な形態に創りあげていきます。それにより、歯肉とストラクチャー(構造物)の基底部との間に汚れが付着する事を最小限に抑えます。汚れが詰りにくい環境をしっかりと作り上げていく。患者様にとって、これは非常に重要な事です。

ボーンリダクション前
ボーンリダクション前
ボーンリダクション後
ボーンリダクション後
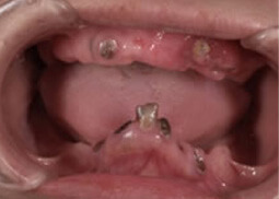
上部構造を外した直後
上部構造を外した直後
上部構造の裏側
上部構造の裏側

上部構造を外した直後の口腔内と上部構造の裏側:とてもきれいに保たれている

③ 安全で確実なオペときれいな仕上がり

オールオン4において最も重要な要素であるインプラントポジション。 当初はフリーハンドでインプラントの埋入を行っておりましたが、現在ではほとんどのケースでガイデッドサージェリーによる埋入を行っております。その目的は数多くありますが、患者様の負担を最小限に抑える事と、アクセスホール(ストラクチャーをインプラントに固定する為のねじ穴)をコントロールする事でとてもきれいな仕上がりとなります。

ガイデッドサージェリー
ガイデッドサージェリー
サージカルテンプレート
サージカルテンプレート

④ 納得のいく口元を創る為に必要な二つの仮歯

オペ当日に1回目の仮歯(ファースト)をインプラントに固定しますが、そのまま最終補綴に移行するクリニックがほとんどです。オペ直後に与える噛み合わせは不十分ですし、審美性や発音等、考慮する事が数多くあります。又、当クリニックでは清掃性を高める為にも、1stの調整を重ねます。最高の最終補綴物を作り上げる為の前段階として、当クリニックでは全ての症例において2回目の仮歯(セカンド)を作製しております。症例によっては、3回目の仮歯(サード)を作制する事もあります。

ファースト
ファースト
セカンド
セカンド

⑤ 美しい最終補綴

専属の歯科技工士により、芸術まで高められた最終補綴物を貴方に、心を込めて贈ります。これらのテクニックはほんの一部です。オールオン4は高度なインプラント技術を必要とする治療の1つです。後悔しない為にクリニック選びは慎重に行って下さい。

最終補綴1
最終補綴2
最終補綴3
最終補綴4
最終補綴5
最終補綴6

オールオンフォーの症例

"見える部分"は、デンタルテクニシャンの技術で決まります。

左 側

オールオンフォー左

正 面

オールオンフォー正面

右 側

オールオンフォー右

インプラント治療で、もっとも高い技術力が必要とされるうちの1つが全顎的な症例です。噛み合わせを熟知していなければ顎関節に支障をきたし補綴物の永続性は保てないのです。そしてオーキッド歯科クリニックのインプラント治療を支えるデンタルテクニシャン(歯科技工士)の技術も重要です。

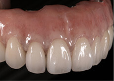
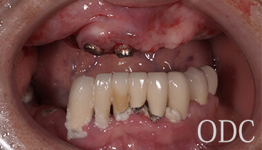
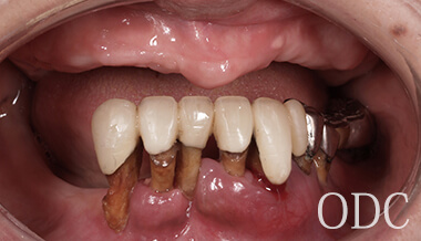
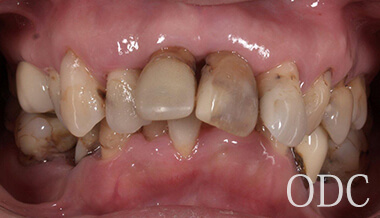
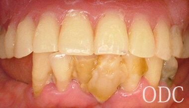
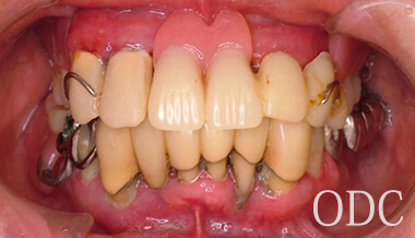
術 前

術前

初診時87歳、男性。上顎は歯周病により残存歯を長期的に機能させることが困難と判断し、全て抜歯。出来る限り早期の咬合機能の回復と審美性の実現が求められ、上顎は「4本のインプラントで失った全ての歯を固定し、手術当日から噛む機能を回復させることが可能」なオールオン4という術式を選択。オールオン4は「治療期間」「経済性」「審美性」「外科的侵襲」などのあらゆる負担を軽減した全く新しいコンセプトの画期的なインプラント治療です。 下顎の欠損部位に対しても、術前の診査診断をしっかり行い合計5本のインプラントを埋入しました。

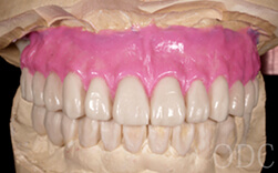
上部構造

上部構造

インプラント治療を成功に導く為に必要不可欠な歯科技工。インプラント補綴は、特に技工士の技術が重要となる。オールオン4において、“口の中の見える部分”は全て歯科技工士の仕事なのです。当医院のオールオン4補綴はインプラント補綴で有名なノーベルバイオケア社公認インストラクター 志田和浩氏によるものです。本症例は、1歯1歯プロセラを装着した、オールオン4の上部構造としては最高級のものの一つです。

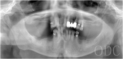
パノラマX線写真

術 前

パノラマX線写真

術 後

パノラマX線写真

術前・術後のパノラマX線写真です。上顎(オールオン4)は4本のインプラントにチタンフレームの上部構造が固定されているのがおわかりになると思います。下顎のインプラント埋入部位、上顎のインプラントの本数、再度写真をご覧いただくと、とてもインプラントが埋入されているとわからない程の外観、下顎の残存歯(元々の自分の歯)とも区別がつかない審美性が実現されています。

All-on-4 CASE.1

BEFORE AFTER
オールオンフォー症例1-1 オールオンフォー症例1-3 オールオンフォー症例1-2 オールオンフォー症例1-4

All-on-4 CASE.2

BEFORE AFTER
オールオンフォー症例2-1 オールオンフォー症例2-3 オールオンフォー症例2-2 オールオンフォー症例2-4

All-on-4 CASE.3

BEFORE AFTER
オールオンフォー症例3-1 オールオンフォー症例3-3 オールオンフォー症例3-2 オールオンフォー症例3-4

All-on-4 CASE.4

BEFORE AFTER
オールオンフォー症例4-1 オールオンフォー症例4-3 オールオンフォー症例4-2 オールオンフォー症例4-4

All-on-4 CASE.5

BEFORE AFTER
オールオンフォー症例5-1 オールオンフォー症例5-3 オールオンフォー症例5-2 オールオンフォー症例5-4
電話 WEB予約